Dental Services
Hermanus-based, Dr Righardt van Huyssteen is a dental practitioner with more than 15 years of dental experienc...
Dr Righardt van Huyssteen
Righardt van Huyssteen grew up in Hermanus and studied at the University of Stellenbosch. After qualifying in 2002, he moved upcountry to complete his required year of community service and then practised as a locum dentist. In 2006, he became an associate at Drs Carse & van Huyssteen in Sasolburg. They also managed a successful practice in Meyerton.
In 2012 he opened a practice in Gansbaai.
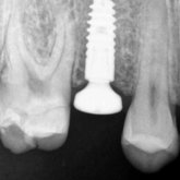
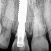
He received his Diploma in Implantology in 2016 from the University of Pretoria, which he passed with Distinction. He is also a member of the International Team for Implantology (ITI), which is based in Switzerland and offers members access to the latest research and cutting-edge techniques.
In 2019 the Gansbaai practice was relocated to Hermanus.


Hermanus-based, Dr Righardt van Huyssteen is a dental practitioner with more than 15 years of dental experienc...
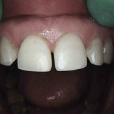
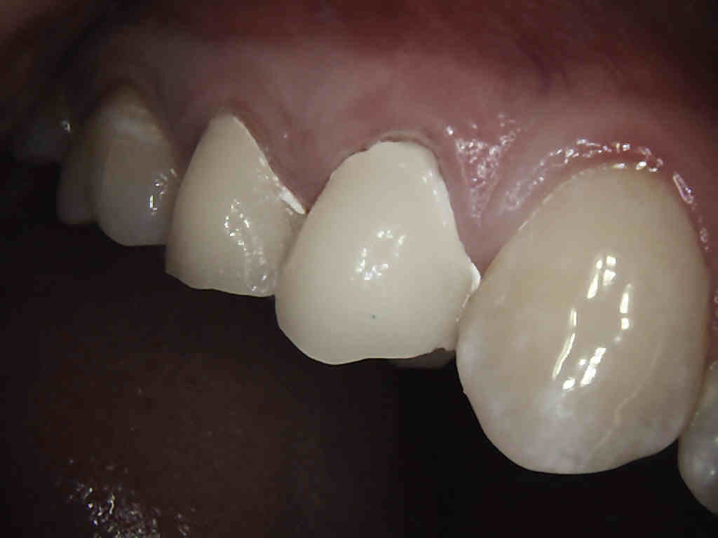
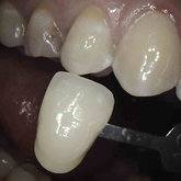
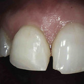
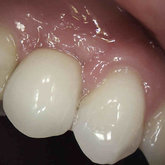
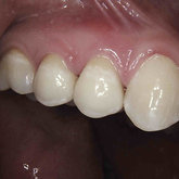
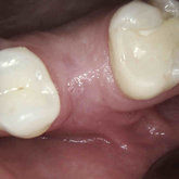
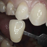
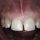
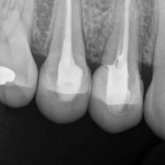
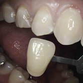
Porcelain crowns and restorations made in one appointment.
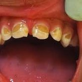
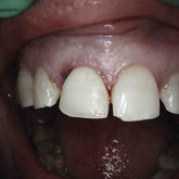
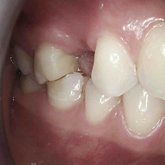
We make it a priority to incorporate the latest in dental technology in everything we do at our practice. ...
Find out more about Dr Righardt van Huyssteen and his dental services.
Dr Righardt van Huyssteen will be relocating his practice to 9 Main Road, Hermanus as from 4 February 2019. ...
Search & Enjoy

